Gündem

Midelerinde uyuşturucu ile yakalanan yabancı uyruklu 3 şüpheli tutuklandı

Bitlis'in Tatvan ilçesinde, yol kontrolünde durdurulan otobüsteki yabancı uyruklu 3 yolcunun sırt çantalarından ve midelerinden toplam 1 kilo 120 gram metamfetamin çıktı. Gözaltına alınan şüpheliler, tutuklandı.

Midelerinde uyuşturucu ile yakalanan yabancı uyruklu 3 şüpheli tutuklandı
01-09-2025 16:07

Bitlis İl Emniyet Müdürlüğü Narkotik Suçlarla Mücadele Şubesi ekipleri, Tatvan ilçesindeki uygulama noktasında yol kontrolü sırasında bir yolcu otobüsünü durdurup, arama yaptı.

Ekipler, şüpheli hareketleriyle dikkat çeken yabancı uyruklu 3 kişinin sırt çantalarında yaptığı aramada 109 parça halinde metamfetamin ele geçirildi.

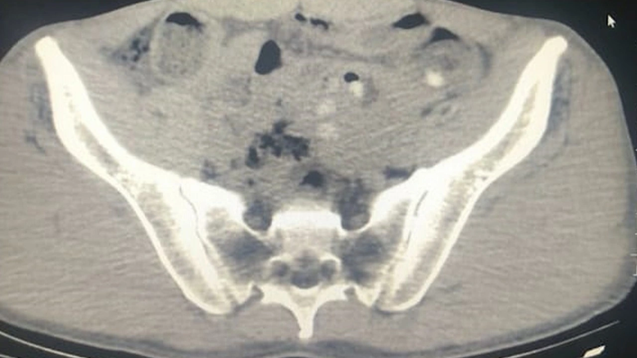
Gözaltına alınıp hastaneye götürülün şüphelilerin çekilen röntgenlerinde de midelerinde 45 kapsül metamfetamin tespit edildi.

Şüphelilerin midesindeki uyuşturucu doğal yollarla çıkarıldı.

Toplam 1 kilo 520 gram metamfetamin ile yakalanan şüpheliler, Emniyet Müdürlüğü'ndeki işlemlerinin ardından sevk edildikleri adliyede çıkarıldıkları mahkemede tutuklanarak cezaevine gönderildi.

DHA

Kaynak: SACITASLAN.COM

BUNLAR DA İLGİNİZİ ÇEKEBİLİR
ÇOK OKUNAN HABERLER