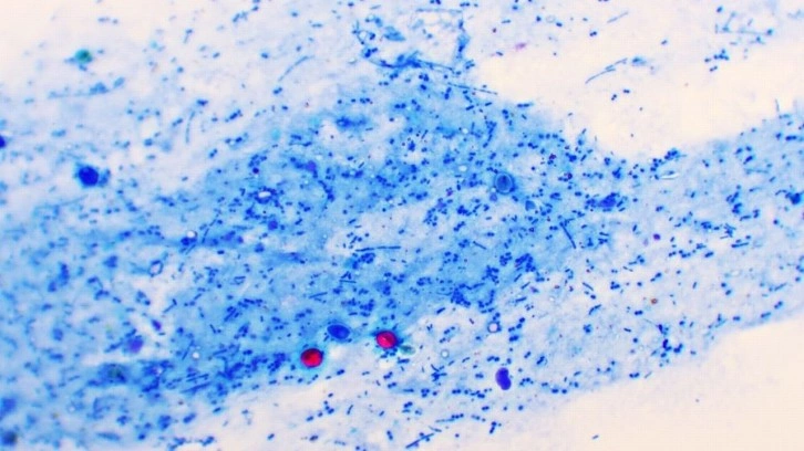
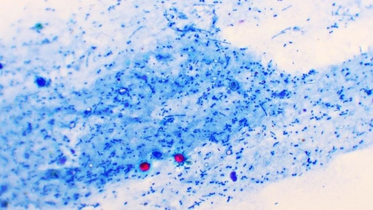
UKHSA, dün yaptığı açıklamada Brixham bölgesinde su kaynaklı uzun süreli ishale neden olan ‘cryptosporidiosis’ vakalarının 46’ya yükseldiğini ve 100'den fazla kişinin semptom bildirdiğini açıkladı.
UKHSA, yaklaşık 16 bin ev ve işyerine, içmeden önce suyu kaynatmalarını tavsiye etti. Vakaların artmasıyla ilgili eleştirilere maruz kalan İngiltere merkezli South West Water (SWW) şirketi vakalar ve hastalıkla ilgili olarak, “Müşterilerimizin çoğu cryptosporidium hakkında sorular soruyor. Cryptosporidium, arıtılmamış suda bulunabilen ve su arıtma işleminin bir parçası olarak giderilen yaygın bir parazittir. Tüketildiği takdirde hastalığa ve ishale neden olabilir, ancak suyu önce kaynattığınız sürece içmek tamamen güvenlidir. Brixham'ın Alston veya Hillhead bölgesinde su içtiyseniz ve kendinizi iyi hissetmiyorsanız, lütfen UKHSA'nın web sitesindeki tavsiyelere uyun” ifadeleri kullanıldı.
“ÇOCUKLARDA GÖRÜLME RİSKİ DAHA YÜKSEK”
UKHSA, hastalık ile ilgili olarak yayınladığı bilgilendirmede, hastalığın 1 ila 5 yaş aralığındaki çocuklara bulaşabilme riskinin daha yüksek olduğunu belirtti. UKHSA hastalığa yakalanmamak için arıtılmamış su içmekten kaçınmak gerektiğinin altını çizerek, “Ne yazık ki herkes bu hastalığa yakalanabilir, ancak hastalık özellikle 1 ila 5 yaş arasındaki çocuklarda daha fazla görülüyor. Bulaşma riski yüksek olan diğer gruplar arasında çiftlik hayvanları veya kirli suyla çalışan kişiler, bebek bezi değiştirenler veya hijyen koşullarının zayıf olduğu ülkelere seyahat edenler yer alıyor. Bağışıklık sistemi zayıf olan her yaştaki kişilerde ciddi septomlara neden olabilir.
Semptomlar arasında, şiddetli sulu ishal, kusma , mide krampları, mide bulantısı, ateş ve iştahsızlık bulunuyor. Bunlar yaklaşık 2 hafta sürebilir. Hastalık iyileşiyormuş gibi görünür ve siz tam olarak iyileşmeden önce geri döner. Hastalığınız olup olmadığından emin olmanın tek yolu doktorunuz tarafından test yaptırmaktır” dedi.
DHA
Kaynak: SACITASLAN.COM

