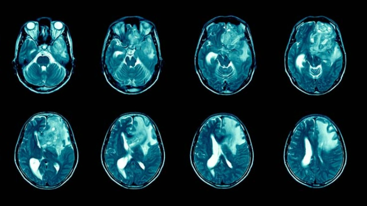
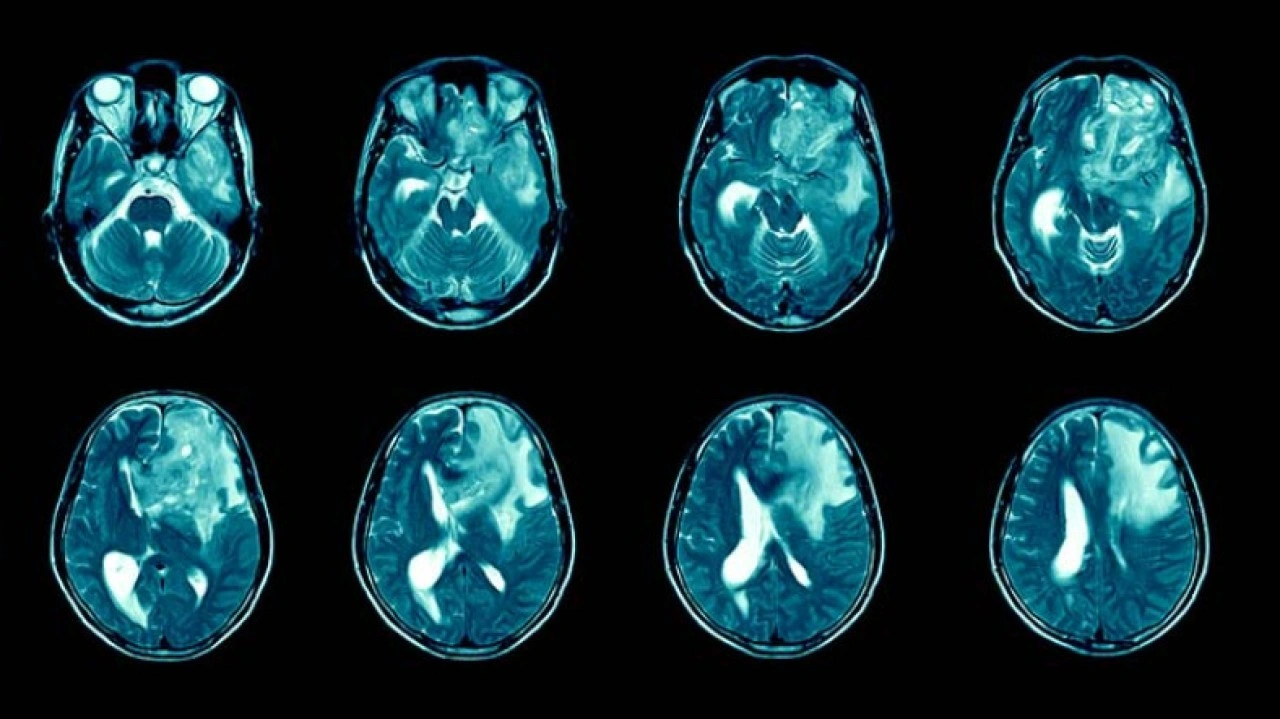
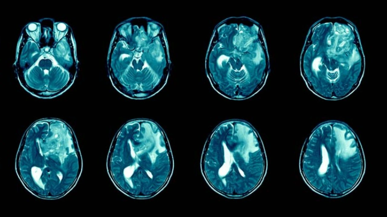
Glioblastoma, beyin kanseri türleri arasında en ölümcül türlerden biri olarak biliniyor. Bu hastalık ortaya çıktıktan sonra hastaların büyük kısmı 1-1,5 yıllık bir süreçte hayatını kaybediyor ve 5 yıldan uzun süre hayatta kalanların oranının ise sadece %7 olduğu belirtiliyor. Üstelik bu süreç boyunca hastalık baş ağrısı, hafıza kaybı, düşünme ve davranış değişiklikleri gibi belirtilere de sahip.
Şu anda kullanılan tedaviler arasında ameliyat, radyasyon ve kemoterapi yer alıyor. Bu yöntemler geçici çözümler sunuyor ve hastalığın kendisini değil semptomlarını tedavi ediyor. Vücut bu kanser hücrelerine karşı doğal bir savunma geliştiremiyor ve verilen ilaçlar da, kan beyin bariyerini genellikle aşamıyor.
Bağışıklık sistemini bu kansere karşı eğitmek mümkün olabilir

Bilim insanları bu noktada, immunoterapi adı verilen bir tedavi yönteminin umut olabileceğini düşünüyor. İmmunoterapi, vücudun bağışıklık sistemini bu kanser hücrelerini yok etmek için eğitmeye odaklanıyor. Araştırmalara göre, omurilik sıvısına yapılan özel bir enjeksiyon ile bu tedavinin uygulanabileceğini ortaya koydu. Henüz bu tedavinin onaylanmış bir versiyonu bulunmuyor ve bazı yan etkileri de bulunuyor.
Bilim insanları şimdi bu tedaviyi geliştirmek için farklı alanlardan uzmanlarla çalışmak üzere adımlar atıyorlar. Bu araştırmalar sayesinde glioblastoma gibi karmaşık hastalıklar için daha etkili çözümler bulunabileceği umuluyor.
Kaynak: WEBTEKNO.COM

